Diagnóstico de la DMAE

Dres. Joaquín Bafalluya-b, Camila Challiolc, Gabriela Gayd, Alejandro Lavaquee, Carolina Pozzonif, Ignacio Zeoliteg
a Director del Departamento de Mácula, Servicio de Oftalmología, Hospital Centenario, Rosario, Argentina. b Director Médico Centro de Diagnóstico y Cirugía Ocular Oftalmólogos Especialistas, Rosario, Argentina. c Servicio de Oftalmología, Hospital Italiano de Buenos Aires, Argentina. d Departamento de Imágenes del Instituto de la Visión, Buenos Aires, Argentina. e Jefe del Servicio de Retina y Vítreo en el Centro de Especialidades Oftalmológicas, San Miguel de Tucumán, Argentina. f Jefa de la Sección Estudios Complementarios del Servicio de Oftalmología del Hospital Italiano de Buenos Aires, Argentina. g Director médico de Integravisión, Mendoza, Argentina.


Conceptos básicos
Más allá de la sintomatología del paciente, en esta enfermedad el diagnóstico se realiza por imágenes, donde inicialmente la observación del fondo del ojo en lámpara de hendidura con la asistencia de una lupa sigue siendo fundamental, asociada a la exploración completa mediante la oftalmoscopía binocular indirecta. Pero es necesario utilizar métodos complementarios cuya relevancia resulta fundamental, sobre todo ante inconsistencias entre los hallazgos “clínicos” y las manifestaciones del paciente.
Medir la agudeza visual de lejos y de cerca es algo indispensable, además de realizar el control oftalmológico completo del segmento anterior y posterior. Pero hay síntomas sobre los cuales el médico oftalmólogo debe acostumbrarse a indagar como son las metamorfopsias, ya que puede suceder que si no se pregunta directamente eso pase inadvertido sobre todo en estadios iniciales de la patología.
La metamorfopsia es “el” síntoma clave en la evaluación del paciente con DMAE y puede ponerse de manifiesto utilizando métodos sencillos como la rejilla de Amsler1. La introdujo el oftalmólogo suizo Marc Amsler en 1947 y continúa vigente ya que es una herramienta económica y útil en la evaluación clínica de los pacientes con enfermedad macular, además de servirle al paciente para realizar un autocontrol. La rejilla consiste en un cuadrado de fondo negro de 10 × 10 cm subdividido en 400 cuadrados por líneas horizontales y verticales de color blanco y con un punto específico de fijación en el centro.
Este instrumento se usa sistemáticamente en la consulta oftalmológica y como método de autoevaluación por el paciente durante el seguimiento. El test pone de manifiesto dos tipos de defectos básicos: los escotomas y las metamorfopsias1.
Ante cualquier sospecha de maculopatía, sea por sintomatología y/o por la detección de una alteración en la rejilla de Amsler, es conveniente profundizar la evaluación del paciente mediante estudios complementarios como se verá a continuación.
Es muy importante realizar la detección precoz de la enfermedad, estableciendo el correcto diagnóstico como también su clasificación para de esta forma poder generar la rápida instauración del tratamiento. Esto puede resultar esencial en la evolución de la enfermedad ya que el manejo oportuno y correcto podría evitar una rápida progresión de la DMAE neovascular.
Se ha descrito que las membranas pueden llegar a tener un crecimiento de 18 µm al día2. En esta etapa, la mayoría de los pacientes sufren una importante pérdida de AV en el primer año (en especial en los primeros 3 a 6 meses; el 15% llega a presentar una pérdida visual grave en 4 semanas). Asimismo, la aparición de DMAE neovascular en un ojo se asocia con una mayor prevalencia del desarrollo de la complicación en el otro ojo, con un riesgo >40% en 5 años3.

Retinografía
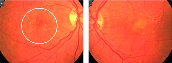
Resulta muy útil dejar un registro fotográfico durante las visitas del paciente; por lo tanto en el control se sugiere la realización de retinografía color del fondo de ojo que permite la visualización en detalle de las lesiones básicas asociadas a DMAE, como la presencia de drusen o redistribución del EPR (Fig. 1). También pueden ser evidentes otras lesiones como elevaciones del EPR, presencia de exudados y hemorragias4.


Figura 1.
Fondo de ojo derecho e izquierdo. A) Presencia de múltiples drusen de tamaño intermedio en la región central. B) Lesión tipo desprendimiento drusenoide del EPR.

Tomografía de coherencia óptica
La Tomografía de Coherencia Óptica (OCT) es un estudio que aporta información valiosa y resulta muy útil para el diagnóstico y seguimiento de estos pacientes. Por otro lado, la angiografía fluoresceínica podría indicarse ante la sospecha de membrana neovascular coroidea, pero claramente en todo paciente que en cuya primera visita se diagnosticó DMAE es aconsejable la realización de una Tomografía de Coherencia Óptica (OCT).
Este método de diagnóstico por imágenes tiene grandes ventajas, ya que es incruento, repetible, no invasivo para el paciente y aporta información de alto valor al profesional médico, incrementando significativamente los diagnósticos precoces, evitando derivaciones innecesarias y su implantación en centros de atención especializada supondría mejoras sustanciales5.

Angiografía por OCT
En los últimos años la introducción de la angiografía por OCT (OCTA) aporta datos sobre la circulación a nivel de la coroides además de los diferentes plexos intrarretinales (superficial y profundo). Es especialmente útil en la detección de neovasos. Gracias a esta tecnología es posible detectar la presencia de membranas neovasculares inactivas en pacientes de alto riesgo6. Su utilización estaría indicada en casos seleccionados siempre y cuando esté disponible.

Retinofluoresceinografía
La angiografía con fluoresceína o retinofluoresceinografía (RFG) es un estudio que sigue vigente pero que tiene menos relevancia que el OCT y que estaría indicada en los casos donde se requiera para confirmar el diagnóstico, aunque si en el centro se tuviera la posibilidad de realizar un OCTA -teniendo en cuenta la necesidad de inyectar contraste en la RFG frente a la no invasividad y mayor aporte de información-, la sugerencia sería realizar el OCTA directamente.
Claramente para el seguimiento del paciente suele ser suficiente la realización de un OCT como único estudio complementario.

Autofluorescencia
De especial interés es el análisis de imágenes de autofluorescencia macular (FAF, por sus siglas en inglés), que es un estudio basado en análisis de fluorescencia emitida por sustancias fluorescentes localizadas en el interior del EPR (lipofucsina). Las alteraciones en la concentración de esta sustancia varían la autofluorescencia del fondo de ojo y representan cambios en el funcionamiento del EPR. Básicamente se distinguen dos tipos de lesiones: hiperautofluorescentes (HFAF) e hipoautofluorescentes (hFAF)7.

CONCLUSIONES
La examinación del paciente debe incluir un examen de la agudeza visual y un examen de fondo de ojo con dilatación pupilar. Asimismo, sería ideal la realización de retinografías y un OCT. Este último debe tener características mínimas para ser aceptable. Se recomienda la realización de un mapa de espesores centrado en la fóvea y al menos la presentación de dos cortes, uno horizontal y otro vertical, igualmente centrados. Resulta recomendable la entrega de un disco compacto (CD) con las imágenes principales y un video que contenga el cubo de la región macular. Si la norma de la institución es entregar los estudios en formato impreso se sugiere que las líneas se encuentren en blanco y negro. La interconsulta con un especialista de retina es siempre recomendable, especialmente en los casos donde existan dudas diagnósticas.


REFERENCIAS
1. Faes L, Bodmer NS, Bachmann LM et al. Diagnostic accuracy of the Amsler grid and the preferential hyperacuity perimetry in the screening of patients with age-related macular degeneration: systematic review and meta-analysis. Eye (Lond) 2014; 28: 788-796. doi:10.1038/eye.2014.104.
2. Coleman HR, Chan CC, Ferris FL 3rd, Chew EY. Age-related macular degeneration. Lancet 2008; 372 (9652): 1835-1845. doi:10.1016/S0140-6736(08)61759-6.
3. Wong WL, Su X, Li X et al. Global prevalence of age-related macular degeneration and disease burden projection for 2020 and 2040: a systematic review and meta-analysis. Lancet Glob Health 2014; 2:e106-e116. doi:10.1016/S2214-109X(13)70145-1.
4. Nusinowitz S, Wang Y, Kim P et al. Retinal structure in pre-clinical age-related macular degeneration. Curr Eye Res 2018; 43: 376-382. doi:10.1080/02713683.2017.1401646.
5. Folgar FA, Jaffe GJ, Ying GS et al. Comparison of Age-Related Macular Degeneration Treatments Trials Research Group. Comparison of optical coherence tomography assessments in the comparison of age-related macular degeneration treatments trials. Ophthalmology 2014; 121: 1956-1965. doi:10.1016/j.ophtha.2014.04.020.
6. De Oliveira Dias JR, Zhang Q, Garcia JMBet al. Natural history of subclinical neovascularization in nonexudative age-related macular degeneration using swept-source OCT angiography. Ophthalmology 2018; 125: 255-266. doi:10.1016/j.ophtha.2017.08.030.
7. Schmitz-Valckenberg S, Holz FG, Bird AC, Spaide RF. Fundus autofluorescence imaging: review and perspectives. Retina 2008; 28: 385-409. doi:10.1097/IAE.0b013e318164a907.